Facebook
youtube
For Appointment Call:
+91 9932314490
Email Id:
drritwik86@gmail.com
Home
About Dr.
Services
publication
Photo Gallery
FAQ
Chambers
Contact Us
Home
About Dr
Services
publication
Photo Gallery
FAQ
Chambers
Contact Us
READ DETAILS
Total knee replacement in general is a very good operation for relieving pain.
Total Knee Replacement
READ DETAILS
Common causes of hip pain and loss of hip mobility
Total Hip Replacement
READ DETAILS
Revision Total Knee Replacement is the replacement of the previous failed total knee prosthesis with a new prosthesis.
Revision Total Joint Replacement
READ DETAILS
This bone is felt inside your waist region. It protects vital internal structures and has extensive blood supply.
Complex Pelviacetabular Trauma
Photo Gallery
Reduction and internal fixation for proximal tibial fracture
before operation
After operation
Ankle Fracture fixation
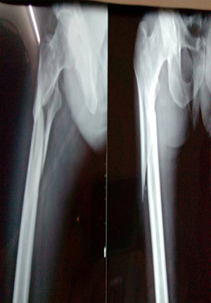
Implant failure with nonunion Done Outside treated by PFN with BG
Reduction and internal fixation for proximal humerus fracture
before operation
After operation
Reduction and internal fixation for proximal humerus fracture
before operation
After operation
before operation
After operation
After operation
Post op picture of cervical spine fusion with cage and plate
Bipolar hip prosthesis for fracture neck of femure in elder population
Proximal femoral nail for comminuated subtrochanteric fracture
primary total hip replacement in ankylosing hip
preoperative picture of ankylosing hip
Pre and post op picture of comminuted fracture distal femur and patella in RTA
Pre and post op picture of comminuted fracture distal femur and patella in RTA
Fracture disocation Ankle treated by ORIF
Proximal femoral nail for comminuated subtrochanteric fracture
Complex primary total hip replacment after failed internal fixation
Complex primary total hip replacment after failed internal fixation